15.10.2015 - 56. Trächtigkeitstag

Gewicht: die Dame schweigt       Bauchumfang: 91cm

 

Der Countdown läuft... wir befinden uns jetzt in der Endphase der Trächtigkeit. Sunnys Bauch ist nochmal ein Stück gewachsen und die Babys strampeln jetzt deutlich sichtbar in ihrer immer enger werdenden Kinderstube. 

Fressen steht immernoch an erster Stelle bei Sunny, auch wenn wir die Menge jetzt auf 4 Mahlzeiten verteilen. Bei vielen Babys bleibt nicht viel Platz für den Magen. Sunny begleitet und weiterhin zu den Spaziergängen und ist nach wie vor gern dabei. Sie lässt sich auch noch zu kurzen Sprints mit Prinz Kapo überzeugen. Am liebsten aber kuschelt sie mit uns und lässt sich den dicken Bauch kraulen.

Trächtigkeitskalender

 

9.Woche

Möglicherweise hat die Hündin keine Appetit mehr, wenn die Zeit der Niederkunft naht.

 

Die Hündin wird ruhelos und beginnt 'Nestbau' Verhalten zu zeigen.

 

Wir messen nun morgens und abends die Temperatur der Hündin. Die normale Temperatur schwankt je nach Rasse und Alter der Hündin zwischen 37,5 und 39,4 Grad Celsius. Gerade wegen der großen Schwankungsbreite ist es wichtig, die normale Körpertemperatur zu kennen (Messungen 7. Woche). Wenn die Temparatur um ca. 1,5 bis 2 Grad Celsius fällt, werden die Welpen innerhalb der nächsten 6- 24 Stunden geboren.

 

Die Hündin wirkt möglicherweise unglücklich, ruhelos, läuft immer hin und her und fühlt sich offensichtlich unwohl. Es kann sein, dass sich weisse Scheidenflüssigkeit absondert.

 

Der vorausberechnete Tag der Geburt. Viele Hündinnen werfen zwischen dem 58. und 63. Tag. Einige lassen sich auch bis zum 66. Tag Zeit. Wir beobachten unsere Hündin vor allem bei Verspätungen sehr genau. Übelriechender, dunkler Ausfluss ist ein Alarmzeichen, es muss sofort der Tierarzt aufgesucht werden.

07.10.2015 - 48. Trächtigkeitstag

Gewicht: zu schwer zum tragen...  Bauchumfang: 88cm

 

Unsere Schmusemaus wird etwas langsamer auf den Spaziergängen, ist jedoch immer gern dabei. Um für die Geburt fit zu bleiben ist regelmäßige Bewegung wichtig.

Fressen könnte sie viel mehr als sie bekommt und bedient sich so regelmäßig an dem Obst im Garten. 

Die Vorbereitungen für die Geburt haben begonnen, wieviele Halsbandfarben ich wohl benötige...;-)

 

TRÄCHTIGKEITSKALENDER

 

8. Woche

 

Die Hündin verbringt sehr viel Zeit mit der Körperpflege. Die Zitzen schwellen deutlich an.

Die Hündin wird unruhiger und sucht einen Platz zum Werfen. Die Wurfkiste sollte spätestens jetzt aufgebaut werden und so angenehm wie möglich gestaltet werden.

Die Föten wachsen jetzt sehr schnell, daher wird der Platz im Bauchraum enger. Wir füttern jetzt mehrere kleine Mahlzeiten.

Ab dieser Woche sind erste Bewegungen der Welpen sichtbar.

Der Tierarzt wird über den Geburtstermin informiert und alle Hilfsmittel für die Geburt bereit gelegt.

 

Fötus in der 8. Woche (Quelle: National Geografic)

30.09.2015 - 41. Trächtigkeitstag

Gewicht: 32,4 kg                    Bauchumfang: 82 cm

 

Oh man ist die schon wieder dick ;-)

Sunny hat in den letzten 2 Wochen ordentlich zugelegt. Der Bauch ist kugelrund und damit werden auch die Spaziergänge etwas langsamer und das Treppensteigen mühsamer. Fressen könnte sie für 10...was das wohl zu sagen hat ;-)

Insgesamt geht es Sunny aber sehr gut, am liebsten liegt sie bei den kalten Temperaturen vorm Kamin oder sitzt mit in der Küche. Ihren Babybauch reckt sie jedem zum Kraulen hin.

TRÄCHTIGKEITSKALENDER

 

7.Woche

Ab diese Woche wird 1 x täglich Temperatur gemessen und notiert.

 

Die Knochen verstärken sich. Die Welpen können nun leicht unter der Bauchdecke ertastet jedoch noch schlecht gezählt werden. Die Haare am Bauch der Hündin fallen aus.

18.09.2015 - 28. Trächtigkeitstag

Viel gibt es über die letzte Woche nicht zu berichten. Sunny ist nach wie vor in Topform, rennt und spielt als ob nichts wär...

Der Babybauch lässt sich allerdings langsam erahnen und geht nicht mehr als 'Zu-viel-gefressen-Bauch' durch. 

 

kleine Pause am Wasser - Xhosa, Aline, Sunny und Kapo
der werdende Papa Kapo
die werdende Mama Sunny

TRÄCHTIGKEISKALENDER

 

5. Woche

Die Welpen sind jetzt etwa walnussgroß, Zehen, Barthaare und Krallen beginnen sich zu entwickeln.

Die Hündin hört auf, die Beine anzuziehen, weil das Gewicht ansteigt und die Welpen sich drehen. Das Anschwellen der weiblichen Scham wird sichtbar.

Die Ausbildung der fötalen Organe ist abgeschlossen. Die Föten sehen nun aus wie Hunde. Kopf und Rumpf sind unterscheidbar. Die Fellfarbe beginnt sich zu entwickeln. Der Herzschlag der Föten ist per Stetoskop hörbar. Die Zitzen der Hündin werden dunkler und schwellen an.

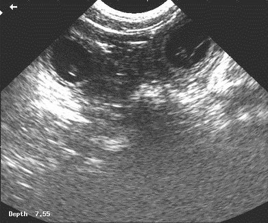
10.09.2015 - 21. Trächtigkeitstag

Der Ultraschall hat es bestätigt. 

Mitte Oktober wird unser C-Wurf das Licht der Welt erblicken.

 

Gewicht: 27,5 kg     Bauchumfang: 57cm

 

Sunny geht es blendend und es ist schon ein Bauchansatz zu erkennen. Das könnte aber auch am zunehmenden Appetit liegen. Zur Zeit gibt es ja Birnen, Äpfel und Pflaumen zur Selbstbedienung im eigenen Garten.

Wir sind gespannt ob uns wieder eine Fußballmannschaft erwartet.

 

Trächtigkeitskalender - 4. Woche

 

Die Augen und die Nervenstränge im Rückenmark werden gebildet. Die Organbildung beginnt.

In diesem Stadium sind die Embryonen noch stark defektgefärdet.

Die Entwicklung der Zitzen beginnt.

 

 

 

 

Kontakt

Rufen Sie einfach an unter

 

+49 174 3037189

 

oder nutzen Sie unser Kontaktformular.

Hier finden Sie uns

aktualisiert: 18. Dezember 2025

Druckversion | Sitemap
© Dalmatiner vom Bahrener Hof